티스토리 뷰
목차

그 원인, 피곤함도 스트레스도 아닌, 바로 입속 '잇몸병'일 수 있습니다.
잇몸병 고치고 삶이 달라진 남자들
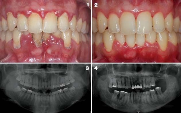
치과에만 갔을 뿐인데, 밤이 달라졌다? “이 나이에 다시 이런 감정을 느낄 줄은 몰랐어요.” 치주염 치료 후 실제로 활력을 되찾은 남성들의 이야기, 정말 뭐라 형언할 수 없는 기쁨이겠죠? 지
nehi.ssugaengi.com



당신의 남성호르몬, 잇몸 때문에 무너진다
치주염은 단순한 잇몸병이 아닙니다. 몸 전체에 염증을 퍼뜨리는 만성 질환으로, 테스토스테론 분비를 은근하게 방해합니다. 테스토스테론이 줄면?



테스토스테론은 남성의 삶을 지탱하는 핵심 호르몬입니다. 성욕, 발기 유지, 근육량, 체지방 분포, 활력과 기분 조절까지 전반적인 건강과 직결돼 있죠.
이 수치가 떨어지면 자연스럽게 활력도 사라지고, 침대 위 자신감은 물론, 일상 속 에너지까지 무너질 수밖에 없습니다. 성욕 저하, 활력 부족, 발기력 약화… 이러한 증상은 단순한 기분 탓이 아니라, 과학적으로도 입증된 전신적 변화의 신호입니다.



[충격] 잇몸병 있으면 성기능장애 위험 1.5배 ↑
2023년 연합뉴스 보도에 따르면, 치주염을 앓는 남성은 그렇지 않은 사람보다 성기능장애 위험이 1.53배 더 높다고 전해졌습니다.
이 수치는 국내 대학병원 치주과 및 비뇨기과의 공동연구를 기반으로 도출되었으며, 연구진은 약 2,500명의 중년 남성을 대상으로 구강 건강 상태와 성기능 간의 연관성을 종합 분석했습니다.



또한 이 연구는 국내 학술지뿐 아니라 국제 구강의학 저널에도 발표되며, 치주염이 전신 건강에 미치는 영향 중 하나로 '성기능 저하'를 처음으로 공식 언급한 사례로 알려졌습니다.
입냄새, 잇몸 피, 시린 이… 이거 그냥 방치하고 계신가요?
잇몸병 고치고 삶이 달라진 남자들
치과에만 갔을 뿐인데, 밤이 달라졌다? “이 나이에 다시 이런 감정을 느낄 줄은 몰랐어요.” 치주염 치료 후 실제로 활력을 되찾은 남성들의 이야기, 정말 뭐라 형언할 수 없는 기쁨이겠죠? 지
nehi.ssugaengi.com



▶ 영상 보기: 잇몸병 있으면 성기능장애 위험 1.5배
입속을 지키면 밤도 지킨다
전신 염증을 줄이고 테스토스테론 회복을 위해 치주 치료는 선택이 아닌 필수! 치과 치료를 통해 잇몸 염증이 완화되면, 우리 몸은 불필요한 면역 반응에서 해방되고 호르몬 생성과 분비 시스템이 다시 안정됩니다.
이는 단순히 잇몸 상태가 나아지는 것 이상의 효과를 가져오며, 피로감 감소, 집중력 향상, 활력 회복, 심지어 기분까지 개선되는 사례가 있습니다.
이처럼 잇몸병 치료는 전신 건강, 특히 남성의 성적 자신감과 에너지를 회복하는 핵심 열쇠가 될 수 있습니다.



아래 증상 2개 이상이면 치과부터 가세요
이건 단순한 잇몸 트러블이 아닙니다. 이런 신호는 우리 몸이 보내는 SOS일 수 있어요. 놓치면 전신 건강까지 무너질 수 있습니다.
- 양치할 때 피가 난다
- 입냄새가 심해졌다
- 이가 흔들리는 것 같다
- 성욕이 뚝 떨어졌다
남성 클리닉? 그전에치과부터 갑시다.



다음 글 예고
[2편]에서는 실제 환자들이 어떻게 잇몸병을 치료하고 활력을 되찾았는지, 비뇨기과+치과 협진 케이스를 중심으로 공개합니다.
잇몸병 고치고 삶이 달라진 남자들
치과에만 갔을 뿐인데, 밤이 달라졌다? “이 나이에 다시 이런 감정을 느낄 줄은 몰랐어요.” 치주염 치료 후 실제로 활력을 되찾은 남성들의 이야기, 정말 뭐라 형언할 수 없는 기쁨이겠죠? 지
nehi.ssugaengi.com
마무리 한 마디
"남자의 자존심은 잇몸에서 시작된다." 지금 거울을 보고 잇몸을 들춰보세요. 피가 난다면… 이제는 무시하지 마세요. 이 글이 당신의 삶을 바꾸는 시작점이 되기를 바랍니다.


